Veneers: Das Zahngeheimnis vieler Stars und Prominenter!

Man wird Sie auf Ihre schönen Zähne ansprechen!

Haben Sie sich auch schon manchmal gefragt, warum viele Stars so gleichmäßige, schöne und weiße Zähne haben? Ob die alle echt sind? Und wenn nicht: Wie diese schönen Zähne gemacht wurden? Hier finden Sie die Antworten:

 

Es gibt eine Möglichkeit, unregelmäßige und dunkle Zähne schön und hell zu machen, ohne dass man viel davon abschleifen muss. Nicht nur viele Stars und Prominente entscheiden sich dafür. Auch immer mehr "normale Menschen", die Wert auf natürlich und ästhetisch wirkende Zähne legen. Die Rede ist von Veneers

 

Attraktives junges Paar mit schönen Zähnen
Schöne und helle Zähne: Mehr Spaß am Leben mit Veneers

Was sind Veneers?

Einzelnes Veneer
Veneer: Hauchdünne Schale aus Keramik oder Kunststoff

Veneer heißt wörtlich übersetzt "Furnier". Und so kann man es auch sehen: Veneers sind hauchdünne Schalen aus Keramik oder Kunststoff, deren Oberfläche einem natürlichen Zahn täuschend ähnlich sieht. Diese Schalen werden in einem aufwendigen Verfahren fest mit dem Zahn verbunden.

 

Obwohl sie so grazil sind, haben Veneers eine sehr lange Lebensdauer. Der große Vorteil ist: Für Veneers müssen Zähne kaum oder manchmal auch gar nicht abgeschliffen werden. Das macht die Behandlung weitgehend schmerzfrei.

 

Kostenlose Informations-Broschüre als PDF-Download:

Download
Perfekt schöne Zähne mit Veneers
Ausführliche Informationen zum Thema Veneers. Jetzt herunterladen und ausdrucken!
veneers_zahnarzt_münchen-aubing.pdf
Adobe Acrobat Dokument 760.5 KB

Warum sind Veneers zahnschonend?

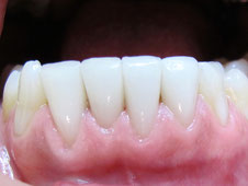
Unterkiefer-Frontzahn-Veneers 4 Jahre nach dem Einsetzen
Veneers der unteren vier Frontzähne (Aufnahme 4 Jahre nach dem Einsetzen)

Da sie hauchdünn sind, muss für Veneers nur sehr wenig von der Zahnoberfläche abgeschliffen werden. Manchmal sogar gar nichts! Die Behandlung ist deshalb schonend und weitgehend schmerzfrei.

 

Obwohl Veneers so grazil sind, halten sie sehr lange: Nach unserer Erfahrung 15 Jahre und länger! Veneers sind nicht nur für die Zähne schonend, sondern auch für das Zahnfleisch: Sie laufen zum Zahnfleischrand hin ganz dünn aus und reizen es daher nicht.

 

Man sieht auch keinen Übergang vom Veneer zum Zahn, da beide dieselbe Farbe haben.

Wann macht man Veneers?

  • Wenn Zähne unregelmäßig stehen
  • Bei Zahnlücken
  • Bei stark fleckigen Zähnen
  • Wenn Zähne von Natur aus missgebildet sind
  • Bei stark abgenutzten oder abgebrochenen Zähnen
  • Wenn Zähne so stark gefüllt sind, dass sie mit Komposits nicht mehr stabil aufgebaut werden können

In allen diesen Fällen können mit Veneers ästhetische und ansprechende neue Zähne gestaltet werden. Wenn Sie Wert auf natürlich schön aussehende Zähne legen, die lange halten, sich nicht verfärben und die Ihre Zähne und Ihr Zahnfleisch schonen, sind Veneers die richtige Lösung für Sie! 

 

Wie werden Veneers hergestellt?

Nach der Vorbereitung der Zähne werden die Kiefer abgeformt. Außerdem wird gemeinsam mit Ihnen die Farbe und Helligkeit bestimmt, die Ihre neuen Zähne bekommen sollen. Der Zahntechniker stellt die Keramikschalen her, was eine bis zwei Wochen dauert. Da für Veneers wenig oder nichts von den Zähnen abgeschliffen werden muss, ist oft kein Provisorium erforderlich.

 

Wenn die Veneers fertig sind, werden sie in einem zweiten Termin mit einer sehr aufwändigen Technik fest mit der Zahnoberfläche verbunden. Danach können Sie Ihr neues Aussehen im Spiegel genießen und bald die ersten Komplimente entgegennehmen. 

 

Bezahlt die Krankenkasse Veneers?

Da Veneers vor allem dem besseren Aussehen dienen, werden sie von den gesetzlichen Krankenkassen nicht bezahlt. Private Krankenkassen leisten teilweise einen Zuschuss. Sie erhalten vor Beginn der Behandlung einen sog. Heil- und Kostenplan von uns, den Sie Ihrer Privaten Krankenkasse einreichen. Danach wissen Sie, ob und wie viel Sie bekommen.

 

Unabhängig davon: Wer jahrelang unter seinen unvorteilhaften Zähnen leidet, hat oft weniger Lebensqualität. Mit natürlich schönen Zähnen kann man sich diese Lebensqualität wieder zurückholen. Die Frage ist, was Ihnen das wert ist. Wir beraten Sie gerne dazu und nennen Ihnen konkrete Preise. 


Die Vorteile von Veneers im Überblick

Collage von Fotos mit weißen Zähnen
Mit Veneers bleiben Zähne dauerhaft schön und weiß.
  • Veneers schonen die Zähne, weil wenig oder nichts abgeschliffen werden muss.
     
  • Sie haben ein absolut natürliches Aussehen und können sehr lange halten:
    15 Jahre und länger!
     
  • Veneers verfärben sich nicht und bekommen keine dunklen Ränder. Der Übergang zum Zahn ist nicht sichtbar.
     
  • Sie schonen das Zahnfleisch, weil sie dünn auslaufen und keine überstehenden Ränder haben.
     
  • Mit Veneers können verfärbte, geschädigte und unregelmäßig stehende Zähne harmonisch schön gestaltet werden.